Orthodontie interceptive
Le cabinet porte un intérêt particulier au dépistage et à la prise en charge des troubles fonctionnels, des habitudes non nutritives, des dysmorphoses orofaciales et des malpositions dentaires.
Même si certaines dysmorphoses oro-faciales ont une origine héréditaire ou congénitale, la majorité de ces troubles ont une origine fonctionnelle.
Aujourd’hui les traitements d’orthodontie sont souvent réalisés en 2 ou 3 étapes :
Prévenir – Dysfonctions
C’est le temps de la normalisation des fonctions
La prévention consiste à éviter que les troubles fonctionnels (déglutition atypique, respiration buccale) et orthodontiques (béance, inverse articulé croisé.. ) apparaissent.
C’est le temps du dépistage et de l’arrêt des habitudes qui déforment la bouche ( succion du pouce, tétine , langue, alimentation molle, biberon).
Nous sensibilisons les enfants dès 2 – 3 ans, grâce au jeu et à des conseils de tétine, à l’échange parfois de la tétine avec “une tétine magique”, et à des conseils de mastication.
Intercepter – Orthopédiedentofaciale
C’est le temps de l’alignement des mâchoires.
L’interception est un traitement réalisé avant l’éruption de toutes les dents définitives. Ce type de traitement est fait entre 5 et 10 ans. Il évite que le mâchoires grandissent de travers et permet de préparer les arcades dentaires pour l’arrivée des dents définitives.
Cette phase peut de réduire le temps de traitement et la complexité des traitements orthodontiques futurs
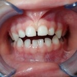
Cas Mila
Mila avant
MILA, Après 6 mois de traitement par éducateur fonctionnel
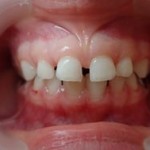
Cas Mathilde
Mathilde avant
Après 6 mois de traitement par éducateur fonctionnel
En 2002, la HAS a mentionné que “tout chirurgien-dentiste se doit de dépister, diagnostiquer, traiter ou adresser tout enfant porteur de problèmes fonctionnels péri-oraux
avec des dysmorphoses associées, et ce, dès l’âge de 3 ans.”
A cet âge, on fera le point sur les fonctions oro-faciales indispensables à une bonne croissance maxillo-faciale, et les parafonctions (pouce, tétine..) en place.
La prévention bucco-dentaire est donc essentielle pour dépister suffisamment tôt les dysmorphoses, et éviter qu’elles ne s’aggravent en l’absence de traitement.
L’interception de ces troubles par l’arrêt des habitudes non nutritives et la rééducation des fonctions oro-faciales, ou la mise en place d’un traitement d’orthodontie précoce, permet de réduire le temps et la difficulté d’un éventuel traitement d’orthodontie futur.
Traiter – Orthodontie
C’est le temps de l’alignement des dents.
Traitement qui a lieu à l’adolescence entre 10 et 14 ans quand toutes les dents définitives sont sorties. La plupart du temps par traitement multibagues ou multiattaches voire parfois par aligneurs.
Pour cette phase ainsi que pour les cas complexes (fentes, agénésies, anomalies héréditaires) nous travaillons en lien avec nos confrères orthodontistes spécialistes. Vous serez donc adressé à l’ orthodontiste spécialiste de votre choix.























Parfois les enfants perdent plus qu’une dent dû à un traumatisme, à une maladie ou à des caries. Cela peut créer une vraie détresse psychologique et un handicap pour parler et manger et même sourire. C’est pourquoi il sera possible de réaliser une prothèse pédiatrique fixée pour remplacer des dents de lait ou des dents définitives, ce qui lui permettra à votre enfant d’être comme avant !
La dent de lait a un rôle important puisqu’elle a un rôle fonctionnel (mastication, phonation), esthétique et de maintien d’espace. Lorsqu’une dent de lait est perdue précocement un mainteneur d’espace sera nécessaire pour remplacer les fonctions de cette dent de lait.
La coiffe pédodontique préformée ou petit chapeau est une couronne pédiatrique qui permet de compenser une perte de tissu lors de défaut d’émail ou de carie profonde et lorsque le soin ne suffit pas. Elle est principalement indiquée à la suite d’une pulpotomie ou pour des dents porteur de MIH. Elle peut être en métal ou en zircone.